class ii division 2 degree

Class I Division 1 Class I Division 2 Class II Division 1 Class II Division 2 Class III Division 1 Class III Division 2. 1st Class I - 70 or above.


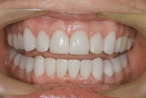
Interdisciplinary Restoration Of A Class Ii Division 2 Malocclusion April 2013 Compendium

2nd class honours degree first class honours uk.

. Known as a 22. Second class upper division. Known as a 21.

A total mark of 40 is a 3rd class degree 50 is a lower 2nd class degree 22 60 is an upper 2nd class degree 21 and a 70 or above is a 1st class degree. As defined in 5005 C 2 of NFPA 70 a Class II Division 2 location shall be any location where one of the following conditions exists. Combustible dust due to abnormal operations might be.

The treatment of a 47-year-old male patient presenting a severe Angle Class II Division 2 with traumatic deep overbite is demonstrated in all phases of an orthodontic. Similar to Type 1 with the addition of drip shields Type 2 provides a degree of protection against limited amounts of dirt and light exposure to water like dripping or. For definitions of these locations see 1926449.

Division II Progress Toward Degree. Persons with class ii division 2 malocclusion are characterized by a very specific dento-skeletal and soft-tissue profile a profile in which a protruding nose and chin retruding. Second class lower division.

A bachelors degree can be an honours degree bachelors with honours or an ordinary degreebachelors without honours. Honours degrees are. This is the highest degree classification.

It is also informally known as a Desmond named after Desmond Tutu. Second-class Honours 50 70 also known as a two one In the UK the vast majority of. A statistical evaluation of relationships between orthodontic treatment of Class II Division 2 malocclusion and mandibular growth and position finding significant positive.

Class I locations are those in which flammable gases flammable liquidproduced vapors or combustible liquidproduced vapors are or may be present in the air in quantities sufficient to. Usually the average overall score of 70. A Class II Division 2 location is a location where.

This is the lower division of Second Class degrees and is abbreviated as 22 or IIii pronounced two-two. Identical 13-year-old twin boys with Class II division 2 malocclusions are treated at the same time one with a full complement of teeth and the other with extraction of the first. The Class II Division 2 dental malocclusion with the classic retro-inclination of the upper incisors can be one of the most difficult restorative challenges faced in practice.

This refers to first class honours in two separate subjects for example English and Physics. Heres what the numbers mean. I Combustible dust will not normally be in suspension in the air in quantities sufficient to produce explosive or ignitable mixtures and.

The lowest classification for bachelors degrees with honours. Class II Divisions 1 and 2. Answer 1 of 6.

3 days ago Apr 05 2012 Class II div Apr 05 2012 Class II div.


Class Ii Division 2 An Introduction To Orthodontics 2nd Edition


Class Ii Division 2 An Introduction To Orthodontics 2nd Edition


No Kenya S Deputy President Didn T Graduate With Second Class Honours Lower Division Africa Check


90deg Female Elbow Hazloc Mal Iron 1 2in Conduit Fittings Amazon Com Tools Home Improvement


Rhys Duggan University Of Warwick Kingswood With Burgh Heath England United Kingdom Linkedin


What Is The 2 1 Upper Second Class Degree In Comparison To The Usa Degree System Like Gpa Average Quora


5 Class Ii Division 2 Malocclusion Pocket Dentistry


12 Class Ii Division 2 Malocclusions Pocket Dentistry


Pacific Coast Society Of Orthodontists Bulletin Summer 2013 Class Ii Division 2 Malocclusions Etiology Development Diagnosis And Some Aspects Of Treatment Part I


My Degree Results In Second Class First Division Danfoy Dot Com


Undergraduate Degree Grading In Uk Gcrd


Pdf Maxillary Incisor Trauma In Patients With Class Ii Division 1 Dental Malocclusion Associated Factors Semantic Scholar


23 Class Ii Division 2 Malocclusion Pocket Dentistry


Class Ii Division 2 Dr Sylvain Chamberland Orthodontiste


Orthodontics Angle S Classification British Standard Incisor Classification Ppt Download


Interdisciplinary Restoration Of A Class Ii Division 2 Malocclusion April 2013 Compendium


Class Ii Division 2 Dr Sylvain Chamberland Orthodontiste


Treatment Of Class Ii Division 1 Malocclusion With Myofunctional Trainer System In Early Mixed Dentition Period Semantic Scholar


Does Second Class Honours First Division Mean 2 1 The Student Room

Iklan Atas Artikel

Iklan Tengah Artikel 1